放射線治療科(放射線治療センター)
放射線治療とは
放射線治療は、がん病巣に放射線(エックス線・ガンマ線など)を照射しがん細胞を死滅させる治療です。手術、薬物療法(抗がん剤など)と並ぶ重要ながんの治療法です。
放射線治療は100年以上の歴史のある治療法です。多くのがんで治療効果のエビデンス(証拠)をもつ標準治療(現時点での最善治療)として重要な位置付けにあります。近年の治療装置や治療計画コンピュータなど周辺機器の開発、治療技術の急速な進歩で、以前と比べて少ない副作用で効果の高い治療ができるようになりました。
からだにメスを入れず切らずに治療ができる(=痛みがない、からだの負担が少ない)、臓器を切り取らずに治療する(=形態と機能を温存できる)ことが特徴です。高齢の患者さんや他の病気で体力が十分でない患者さんにも比較的安全に適用できます。多くの場合通院で、仕事を続けながらでも治療できるのも利点の一つです。
手術なしで完治を目指す根治照射、手術と組みわせた術前・術後照射、がんの痛みなど苦痛を取り除く緩和照射、など幅広い適応があります。多くのがんに対して、放射線治療に薬物療法(抗がん剤、分子標的薬、免疫チェックポイント阻害剤)を組み合わせた「集学的治療」が行われます。
沖縄県立中部病院放射線治療センターの特徴
2025年5月から新治療システムでの診療を開始しました。TrueBeam(米国Varian社)による外部照射に加え、県内で2台目となる高線量率リモートアフターローディングシステム(RALS)フレキシトロンHDR(英国Elekta社)を導入し密封小線源治療も可能になりました。
放射線治療専門医(日本放射線腫瘍学会認定)2名、看護師4名(うち1名はがん放射線療法看護認定看護師)、診療放射線技師6名(うち2名は放射線治療専門放射線技師・品質管理士)、医師クラーク1名、受付2名でチーム診療にあたります。最新の高精度放射線治療を積極的に適用し、患者さんに安心して治療を受けていただけるようきめ細かい診療を心がけています。
患者さんごとに院内の各診療科の医師とカンファレンスなどで治療方針を協議し、連携して治療をすすめます。
ガイドラインの標準治療を基本に患者さんひとりひとりに合った最適な治療方針を患者さんに提案します。十分に説明し納得をいただいたのちに治療をスタートします。
当院は学会(日本放射線腫瘍学会)の認定施設に指定されています。また、国立がん研究センターの研究班を中心とする共同研究グループのJCOG(日本臨床腫瘍研究グループ)の放射線治療グループに県内から唯一の施設として参加し、治療品質のきびしい第三者評価を受けながら、適切な標準治療の提供とともに新しいエビデンスの構築にも貢献しています。


当院で実施できる放射線治療
1. 3次元原体照射法(3D conformal radiation therapy: 3DCRT)
治療計画コンピュータで、がん病巣の範囲をCT画像上に設定し、その形状にあわせた照射範囲を複数の角度で形成し照射する外部照射です。周囲の正常組織への影響をできるだけ少なく確実にがん病巣に照射する方法です。
2. 強度変調放射線療法(intensity modulated radiation therapy: IMRT)、強度変調回転照射(volumetric modulated arc therapy: VMAT)
3次元原体照射をさらに進化させた外部照射です。付属装置(マルチリーフコリメータ:MLC)を複雑に動かし、照射野内の放射線の強度を変化(変調)させて治療します。
放射線の強さをがん病巣の大きさや形状、がん細胞の密度に合わせて細かく調整して照射します。これにより病巣に近接した正常組織や臓器の被ばくを最小に抑えながら、病巣の状態に応じた必要十分量の放射線を照射することが可能です。
当院では照射ビームを変調するとともに治療装置の角度を回転させながら照射する強度変調回転照射(volumetric modulated arc therapy: VMAT)で行い、短時間でのIMRTが可能です。
前立腺癌、頭頸部癌、子宮頸癌・体癌、肺癌、食道癌、直腸癌(手術前)などのほか、転移・再発病巣などに対しても積極的に適用しています。

3. 定位放射線治療(Stereotactic radiotherapy: SRT)
比較的小さながん病巣に対し、周囲の正常臓器を避けて高線量の放射線を集中的にピンポイントで照射する治療です。ミリ単位の正確さでがん病変への強力な照射を行います。少ない回数(短期間)で安全に効果的な高線量を投与できます。
脳転移や、早期の肺癌や肝細胞癌などの体幹部の病巣に対して適用します(体幹部定位放射線治療:Stereotactic body radiotherapy: SBRT)。椎骨(背骨、腰骨)の骨転移には脊髄(神経)をくり抜くように避けての照射が可能です。
胸部(肺癌など)や腹部(肝臓癌など)の病巣の治療では呼吸による病巣の動きが問題になります。当院では4次元CT撮影を行い、RGSC (Respiratory Gating for Scanners)呼吸同期システムにより、患者さんの自然な呼吸タイミングに合わせた照射や、短い息留めによる照射を、患者さんの状態に合わせた最適な方法で行います。

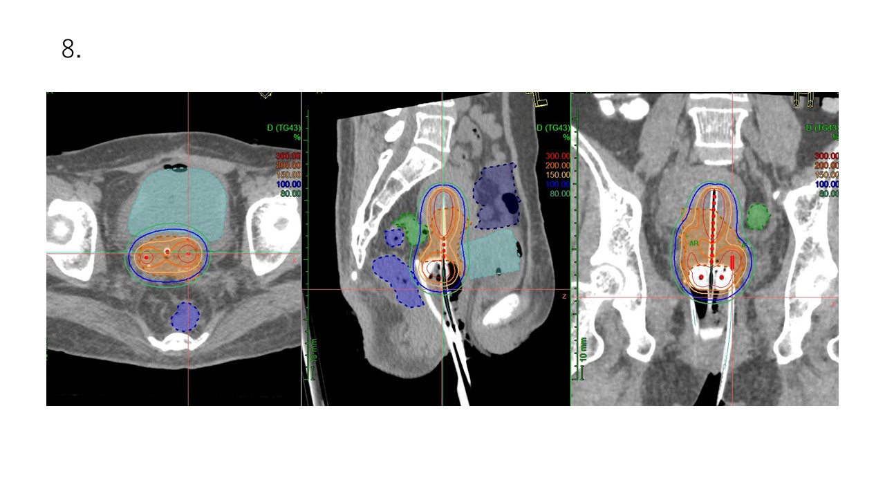
4. 3次元画像誘導小線源治療(3-dimensional image-guided brachytherapy: 3D-IGBT)
小線源治療とは、体内のがん病巣部に小さな器具(アプリケータ)を挿入し、そのアプリケータにリモートコントロールで小線源(ラジオアイソトープを封入した小さな金属カプセル)を送りこみ、体内から高線量を照射する治療です。装置(Remote After loading System)の頭文字を取って、RALS(ラルス)治療ともよばれます。
特に子宮頸癌の根治治療に不可欠の治療です。周囲の臓器(腸、膀胱など)への被ばくを最小限に抑えながら、子宮の病変部に集中した高線量の照射が可能です。
当院では同室に設置したCTを用いて高精度の3D-IGBTを行います。
アプリケータ挿入時から治療中は点滴から鎮静剤と鎮痛剤を投与し、苦痛を最小限に治療を行います。
大きな腫瘍や複雑な形状の病巣には、針状のアプリケータを追加する組織内照射併用腔内照射(ハイブリッド照射)を行います。

対象となる疾患
全身の多くのがんが対象になります。また、一部の良性疾患(ケロイドなど)に対しても適用されます。抗がん剤を併用する化学放射線療法も積極的に行なっています。治療期間中はもちろん、治療終了後も主科の医師と定期的に外来で経過を診察し、再発や副作用の早期発見と対処につとめます。
頭頸部癌
口腔癌(口の中のがん)や喉頭・咽頭癌(のどのがん)に対して、手術(切除)なしでの完治を目指す根治照射や、手術後の再発予防を目的とした術後照射を行います。
根治照射では発声(声を出して話す)や嚥下(飲み込み)の機能を温存した根治が期待できます。
IMRT/VMATで副作用の少ない治療が可能です。
抗がん剤を併用した化学放射線療法も積極的に行います。
当院では抗がん剤投与を腫瘍内科専門医(がん薬物療法の専門医)がガイドラインに準じて実施するのが特徴です。
緩和照射では短期に治療ができ通院などの負担が少ないQUAD SHOT(寡分割照射)を実施しています。
乳癌
おもに乳房温存術後の再発予防で、患側の乳房全体の照射(術後全乳房照射)を行います。
必要に応じて領域リンパ節照射を適用します。
治療期間を短縮した(約3週間)寡分割照射も実施しています。
患者さんの体型や照射範囲によりIMRT/VMATも適用します。
左乳癌では心臓への被曝ばく低減を目的に深吸気息どめ照射(Deep Inspiration Breath Hold: DIBH)を行います。
食道癌
手術が標準治療ですが、高齢者や基礎疾患で手術が適さない患者さん、手術を希望しない患者さんには、根治を目指した化学放射線療法をVMATで行います。抗がん剤投与は腫瘍内科医が行います。
肺癌
転移のない早期がんで、手術が難しいか手術を希望しない患者さんには、定位放射線治療(SBRT)で根治を狙います。
手術が適応にならない進行がんでは、抗がん剤を併用しIMRT/VMATを用いた化学放射線療法で根治を目指します。
化学放射線療法後は免疫チェックポイント阻害剤(デュルバルマブ)あるいはチロシンキナーゼ阻害剤(オシメルチニブ)の維持療法を行います。
子宮頸癌
早期がんから進行がんまで、根治を目指した放射線治療(化学放射線療法)が診療ガイドラインに示された標準治療です。
手術ができる早期がんでは、手術と放射線治療の完治率に差はありません。
手術ができない進行がんでも化学放射線療法で高い確率で根治が期待できます。
適応を選び免疫チェックポイント阻害剤(ペムブロリズマブ)を化学放射線療法に併用します。
根治を目指す治療では、外部照射とともに小線源治療が不可欠です。これまで小線源治療は琉球大学病院に依頼していましたが、2025年5月からRALSが導入され当院での治療が可能になりました。一連の治療を当院で完結できるようになりました。
根治照射の外部照射に当院はいち早くIMRT/VMATを適用し副作用の軽減に努めています。
前立腺癌
早期がんから進行がんまで、根治を目的にした放射線治療をIMRT/VMATで行います。
早期例では前立腺の後ろに位置する直腸の被ばくを低減するSpaceOAR(前立腺と直腸の間に注入するスペーサー)、正確な位置決めを可能とする金マーカーを事前に留置します。
治療回数を減らした寡分割照射(4週間)を実施しています。
緩和照射
放射線治療でがんの進行に伴う症状を和らげること(緩和)ができます。
骨への転移やがんの浸潤による痛み、胸部のがん病巣による上半身のむくみや息苦しさ(上大静脈症候群)、飲み込みにくさ(食道がん)、がん病巣からの出血(吐血、喀血、血便、血尿など)、さまざまな症状の緩和が期待できます。
がんの病状だけでなく、がん以外の体の状態、期待される効果、予測される
副作用、通院の負担や患者さんのご希望なども総合的に考慮して、治療の方法やスケジュールを検討します。
ひとりひとりの患者さんにあったきめの細かい治療方針を心がけています。
治療中の副作用を少しでも軽減するため、IMRT/VMATなどの高精度治療を積極的に適用しています。
オリゴ転移
遠隔転移のある患者さんには全身的な薬物療法が一般的ですが、近年さまざまながんで、転移の部位・数が少ない場合(オリゴ転移)には、VMATやSBRTなど高精度放射線治療を用いた放射線治療が、症状の緩和だけでなく生存率の向上をもたらすことが注目されています。
当院でも脳転移を始め、脊椎転移、肺転移、肝転移、リンパ節転移などに高精度放射線治療を、積極的に適用しています。
治療実績
1.疾患別新規患者数(再来は除く)…年次推移

